Shannon M. Coen DMD PC
Coen Dentistry

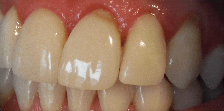
Smile Gallery

Our Smile Gallery showcases the transformative dental work performed by our skilled team, highlighting before-and-after images of our patients' smiles. 

Ready to Transform Your Smile?

Call us today to schedule your consultation with Dr. Coen. 

Have Questions? Get in Touch
Smile Gallery Categories
I appreciate this office so much and what they do!

Dr Coen is by far the best dentist I have been to! I was a dental assistant for 3 years and every time I come in everyone is so welcoming and knowledgeable! Dr Coen always is such a sweetheart! Anytime I have had an emergency they get me in same day and take care of it! I appreciate this office so much and what they do thank you!
-Julia S.
 

If you have difficulty using our website, please email us or call us at (602) 978-1100
View the ADA Accessibility Statement
Privacy Policy